マウスピース矯正(インビザライン)|山梨県韮崎市のニッコリ矯正歯科

ご予約・お問い合わせ 0551-22-0550
10:00~13:00
14:30~18:30
WEB予約 LINE予約

山梨県韮崎市若宮1丁目2-50 韮崎市民交流センター(ニコリ)3F

  • 正確な診断による矯正治療正確な診断による矯正治療
  • 丁寧なカウンセリングでわかりやすい矯正治療丁寧なカウンセリングでわかりやすい矯正治療
  • 綺麗な笑顔になれるマウスピース矯正綺麗な笑顔になれるマウスピース矯正

矯正治療専門医院で行う

完成度を追求した
マウスピース型
矯正歯科装置
による歯列矯正

マウスピース型矯正歯科装置に
興味がある方は、
まず矯正相談へお越しください

歯科医師による
丁寧なカウンセリングを行います

マウスピース型矯正歯科装置
による歯列矯正は
どこで治療しても
同じだと思っていませんか?

WHAT IS MOUTHPIECE

マウスピース型矯正歯科装置による歯列矯正はどこで治療しても同じだと思っていませんか?

矯正治療を担当する歯科医院・
歯科医師の経験や技術によって
治療後の歯並びの完成度には
大きな差が生まれます

矯正治療は人生のうちに何度も行う治療ではありませんので、
理想の歯並びを手に入れるためにも信頼できる歯科医院を選ぶことが大切です。
「かかりつけの歯科医院だから安心」というわけではなく、矯正治療という専門的な技術が必要な分野だからこそ
専門資格や実績などを含めて、安心して治療を受けられる歯科医院で相談するようにしましょう。

  • 矯正治療専門医院
  • 検査・分析の精度
  • 幅広い対応力
  • 豊富な症例実績
  • 加速装置による
    短期治療

ニッコリ矯正歯科クリニックの
マウスピース型
矯正歯科装置
による
歯列矯正

矯正治療に特化した専門の
歯科医院だからこそ
実現できる安定した対応力

様々な
矯正治療に
対応

丁寧な
治療説明

歯科矯正用アンカースクリューを用いた矯正治療など、難症例にも柔軟に対応することができます。また、マウスピース型矯正歯科装置による歯列矯正に適応していない症例の場合は、マルチブラケット矯正など他の矯正治療にも対応しておりますので患者さんに合わせた適切な矯正治療をご案内することが可能です。

患者さんに合わせた適切な矯正治療 患者さんに合わせた適切な矯正治療

さらに矯正治療をサポートする
加速装置を導入

suresmile VPro

当院では光加速装置(PBMオルソヒーリング)や高周波振動装置(suresmile VPro)を導入しております。1日1回5分~10分間、マウスピース型の装置をお口に装着して使用する矯正治療の補助装置です。矯正の期間で不安やお悩みがある方はぜひ1度お気軽にご相談ください。

加速装置についての
詳細はこちら

矯正治療中の歯並びの
変化に合わせて
途中からマルチブラケット矯正へも移行できる保証制度

マウスピース型矯正歯科装置

マウスピース型矯正歯科装置

マルチブラケット矯正

マルチブラケット矯正

幅広い症例に対応できるマウスピース型矯正歯科装置による歯列矯正ですが、歯を大きく動かすような難症例には対応できない場合もあります。当院では、マウスピース型矯正歯科装置による歯列矯正の治療開始から経過を見て、歯の移動状況やお口の状態から判断して途中からマルチブラケット矯正に移行することも可能ですのでご安心ください。途中から移行することでロスを少なく効率的に治療を行い、歯根や歯髄に影響を与えてしまうようなリスクも避けられます。症例や状況によって保証の内容は異なりますが、難症例の場合でもしっかりとした対応力がございますのでお気軽にご相談ください。

矯正治療に関する専門性と技術はもちろん、

先端設備を使用した
精密な検査と
高い分析も行っています

検査・分析について

矯正治療の精度を上げるためには、歯科医師の技術や経験だけでなく先端設備による精密な検査および分析が必要不可欠です。当院では安心できるクオリティの高い矯正治療を実現するために、CT検査・セファロ分析・顔貌撮影・クリンチェックなどの検査・分析を行っています。

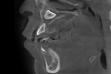
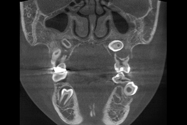
CT検査

3次元情報から、歯の位置・埋伏歯(歯冠の全てまたは一部が顎の骨や歯肉の中に埋まって出ていない歯)・過剰歯(決まった本数よりも多く歯が生えてくること)などを確認します。埋伏歯や過剰歯があると、歯が移動する際に適切な動きができなくなってしまうため、事前に不要な歯を確認しておく必要があります。また歯の移動に大きく関係する骨の厚さや距離などの情報も得られ、精度の高い矯正治療のための重要な情報源を採取することができます。

埋伏歯の位置や方向が確認できる
CT検査の例

CT検査で確認できる軸位断図

CTを使用すると、左記の軸位断図のように様々な角度の断面から歯の位置などの確認をすることができます。

3D構築画像

3D構築画像

アキシャル像

アキシャル像

コロナル像

コロナル像

サジタル像

サジタル像

※症例に合わせて必要な場合にのみCT検査を行います。
※医療連携している医院で撮影させていただきます。

セファロ分析

歯科専用のレントゲンです。矯正治療において分析の根本となるもので、セファロ分析を行うことで口腔内の不正歯列が明らかになります。歯の角度や距離を計測することで、歯の移動の仕方や抜歯の有無などについての判断材料としても有効です。セファロ分析の結果、マウスピース型矯正歯科装置による歯列矯正に向いていない場合もあるので治療を成功させるためにも重要な検査といえます。

セファロ分析により不正歯列を確認

正常な歯列のセファロ分析

正常な歯列

上顎前突のセファロ分析

上顎前突の場合

下顎前突のセファロ分析

下顎前突の場合

顔貌撮影

お顔全体の写真を撮影することで、「生体が機能できる口元になっているか」「お顔全体のバランスがとれているか」など、多くの情報を得ることができます。また、横顔の美しさの指標として用いられるEラインを確認する手段としても有効です。しっかりと口が閉じられると、お顔全体のバランスが改善されるほか、唾液の乾燥を防ぎ歯周病などの予防にもつながります。口腔内の変化を比較検討できるように治療の節目で撮影を行います。

矯正治療によって
美しいEラインへと改善された例

例えば出っ歯(上顎前突)の患者さんの場合、鼻と顎を点で結んだラインから口が閉じられずにはみ出していることがわかります。これが改善されると高い審美性を得られるほか、生体がしっかりと機能するようになります。口が閉じられないと唾液が乾燥し口腔内の免疫力が低下することで、歯周病リスクが高まり全身への影響を及ぼす可能性があります。

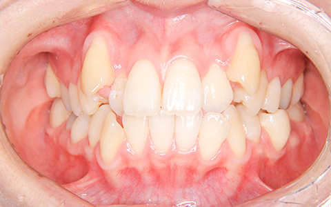
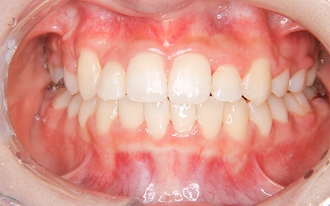
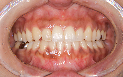
口元が出ている。口が閉じれないとのお悩みでご来院(24歳)。上下顎前突に対して、マウスピース型矯正歯科装置(インビザライン)による治療を行いました。(上下顎両側第一小臼歯を抜歯)
治療期間:2年4カ月(通院13回)
※矯正治療費88万円(税込み)
(リスク・副作用:歯が動く痛み、歯髄壊死、歯根吸収、歯肉退縮、リテーナーを使用しないことによる後戻り)

治療前

Eライン治療前

治療後

Eライン治療後

これらの検査結果をもとに
徹底的な分析を行い
患者さんに合わせた歯の
移動シミュレーションを
作成します

検査結果の分析と歯の移動シミュレーションは歯科医師自らが行いますので、担当する歯科医師の知識や経験、これまでの実績などによりクオリティに差が出るのはもちろん、どれだけ真剣に向き合えているかが治療結果を左右します。当院では15年以上の矯正歯科臨床歴を持つ院長が、患者さんに合わせた精度の高いシミュレーションを作成させていただきますのでご安心ください。

クリンチェック

口腔内スキャナー(iTero)を使用して歯をスキャンした後、マウスピース型矯正歯科装置(インビザライン)のメーカーによる治療シミュレーションをご確認いただけます。しかし、あくまでこれは歯の動き方などの影響が考慮されていないシミュレーションであり、その通りになるということは決してありません。専門の歯科医師が歯の動かし方や順序をしっかりとシミュレーションに組み込むことで精度の高い矯正治療が可能となります。

抜歯を含めた
治療シミュレーションを作成

治療中シミュレーション

治療中シミュレーション

治療後シミュレーション

治療後シミュレーション

加速装置

当院では矯正治療の際、加速装置の使用を選択することも可能です。
加速装置は歯肉に近赤外線や高周波の刺激を与えます。
ご希望の方はお気軽に当院までご相談ください。
※加速装置は別途費用がかかります。

1日
10分の装着

どんな矯正装置にも適用できる

矯正治療によって歯が動く仕組みとして歯を支える歯槽骨の中を歯根が動くことで歯列が移動します。その際に歯槽骨と歯肉部分で細胞の破壊と再生が繰り返され少しずつ歯を動かしていくことが可能になります。
加速装置は、細胞に対して、近赤外線や高周波の刺激を与えます。加速装置はどのような矯正装置とも併用可能です。マウスピース型の矯正装置と相性が良いとされておりますが、加速装置の種類によってはワイヤー矯正にも使用することができます。

患者さん1人ひとりのご状況に合わせた加速装置をご用意
光加速装置(PBMオルソヒーリング)
高周波振動装置(suresmile VPro)

薬機法において
承認されていない医療機器について

当院では、医薬品医療機器等法(薬機法)において承認されていない医療機器 光加速装置(PBMオルソヒーリング)・高周波振動装置(suresmile VPro)を用いた矯正治療を行っています。以下のことをご理解の上、治療をさせていただきます。

①未承認医薬品
光加速装置(PBMオルソヒーリング)・高周波振動装置(suresmile VPro)は、薬機法上の承認を得ていません。
②入手経路
光加速装置(PBMオルソヒーリング)はPBM Healing International Limitedの製品であり、日本 PBM Healing 株式会社を介して入手しています。高周波振動装置(suresmile VPro)はデンツプライシロナ株式会社の製品で、個人輸入で入手しています。
③国内の承認医薬品等の有無
光加速装置(PBMオルソヒーリング)・高周波振動装置(suresmile VPro)は、日本では薬機法対象外です。
④諸外国における安全性等に係る情報
光加速装置には、カナダ製のオルソパルスとPBMオルソヒーリングがあり、重大な副作用の報告はありません。同様の仕様であるオルソパルスは2015年にFDAで認証を受けた医療機器です。高周波振動装置(suresmile VPro)は、FDAで認証を受けた医療機器です。アメリカ・カナダ、オーストラリア、シンガポールなどで、医療機器として認証を受けています。重篤な副作用の報告はありません。しかし、光加速装置(PBMオルソヒーリング)・高周波振動装置(suresmile VPro)ともに、日本では薬機法対象外です。そのため、加速装置を併用した矯正治療についてもマウスピース型矯正歯科装置「インビザライン」治療同様、医薬品副作用被害救済制度の対象となりません。

マウスピース型矯正歯科装置に
興味がある方は、
まず矯正相談へお越しください

歯科医師による
丁寧なカウンセリングを行います

症例紹介

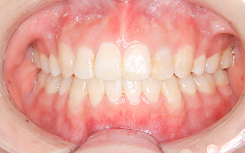
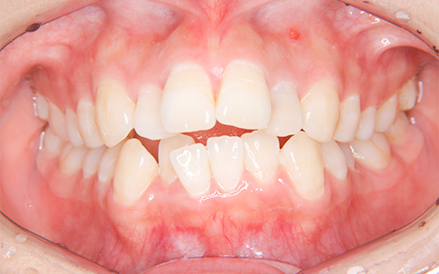
CASE.1

治療前

治療後

施術内容 上の2番目の歯が内側にあることがお悩みでご来院(33歳)。前歯部の叢生・交叉咬合に対するマウスピース型矯正装置(インビザライン)による非抜歯治療
治療期間 1年1ヶ月(通院7回)
費用 880,000円
リスク・副作用 歯が動く痛み、歯髄壊死、歯根吸収、歯肉退縮、リテーナーを使用しないことによる後戻り

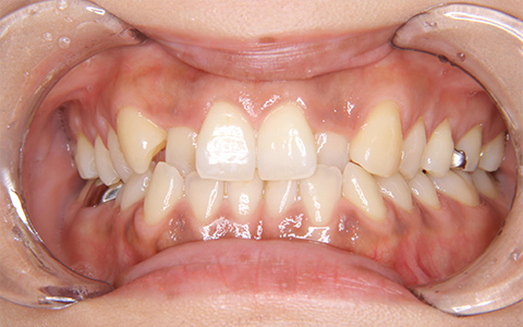
CASE.2

治療前

治療後

施術内容 ガタガタな歯並びのご相談でご来院(小児矯正時7歳 成人矯正時13歳)。叢生に対して、小児矯正(固定式拡大装置、セクショナルワイヤー)から成人矯正(マウスピース型矯正装置)に移行して対応した非抜歯治療
治療期間 小児矯正:1年7ヵ月、成人矯正:1年(通院23回)
費用 小児矯正:440,000円、成人矯正:480,000円
リスク・副作用 歯が動く痛み、歯髄壊死、歯根吸収、歯肉退縮、リテーナーを使用しないことによる後戻り

CASE.3

治療前

治療後

施術内容 右上3番の位置が気になるとのことでご来院(16歳)。犬歯の異所萌出、上顎骨の狭窄に対するマルチブラケット装置による抜歯(上顎両側4番を抜歯)治療
治療期間 2年6ヵ月(通院30回)
費用 880,000円
リスク・副作用 歯が動く痛み、歯髄壊死、歯根吸収、歯肉退縮、リテーナーを使用しないことによる後戻り

CASE.4

治療前

治療後

施術内容 開咬、上顎前突に対するマルチブラケット装置による抜歯(上下顎両側第一小臼歯を抜歯)治療(18歳)
治療期間 2年3ヵ月(通院27回)
費用 880,000円
リスク・副作用 歯が動く痛み、歯髄壊死、歯根吸収、歯肉退縮、リテーナーを使用しないことによる後戻り

CASE.5

治療前

治療後

施術内容 叢生、交叉咬合、重度の歯肉退縮に対するマルチブラケット装置による抜歯(上顎両側犬歯、下顎両側第一小臼歯)治療(20歳)
治療期間 2年6ヵ月(通院30回)
費用 880,000円
リスク・副作用 歯が動く痛み、歯髄壊死、歯根吸収、歯肉退縮、リテーナーを使用しないことによる後戻り

このようなお悩みは
ありませんか

  • 歯並びにコンプレックスがあり
    自信をもって笑うことができない
  • 金属アレルギーがあるので矯正治療が
    できない
  • 矯正治療を始めたら日常生活に支障が
    ありそうで心配
  • 矯正治療は始めたいけど、歯科医院へ
    頻繁に通う時間が無い
  • 矯正治療に興味はあるけど
    装置の見た目が気になる

このようなお悩みをお持ちの方は
マウスピース型矯正歯科装置
(インビザライン)がおすすめです

マウスピース型
矯正歯科装置
(インビザライン)とは

マウスピース型矯正歯科装置(インビザライン)

マウスピース型矯正歯科装置(インビザライン)は、透明のプラスチック素材で製作されたマウスピースを装着し歯並びを整えていくため、周囲の方からも気づかれにくいなど多くのメリットがあります。

マウスピース型矯正歯科装置
(インビザライン)のメリット

MERIT

取り外し可能で衛生的

取り外し可能で衛生的

食事や歯磨きの際など、簡単に装置を取り外すことができますので日常生活への影響も少なく、衛生的に使用することができます。

違和感や痛みが少ない

違和感や痛みが少ない

マウスピースは薄く作られているため違和感が少なく、段階的に入れ替えて治療していくためマルチブラケット矯正と比べて痛みも少ない方法です。

透明で目立ちにくい

透明で目立ちにくい

マウスピースは透明素材で作られており、装着していても周囲から気づかれることはほとんどありません。周りに気づかれずに矯正したい方におすすめです。

通院回数が少ない

通院回数が少ない

ご来院の際にマウスピースを数枚まとめてお渡しするため、頻繁にご来院いただく必要はありません。ほかの矯正治療と比較して通院回数を抑えられます。

金属アレルギーの方でも安心

金属アレルギーの方
でも安心

プラスチック素材で製作されたマウスピースのため、金属アレルギーをお持ちの方でも安心してご使用いただくことが可能です。

幅広い症例に対応可能

幅広い症例に対応可能

ガタガタの歯並びや出っ歯、受け口、すきっ歯など、幅広い症例に対応しています。他院で断られてしまった場合でも一度ご相談ください。

矯正治療の比較

マウスピース型矯正歯科装置による歯列矯正と他の矯正装置の違いをしっかりと理解しましょう。
それぞれにメリット・デメリットがあり、自分に合った矯正治療を見つけることが大切です。

マウスピース型矯正歯科装置による歯列矯正

マウスピース型矯正歯科装置による歯列矯正

ワイヤー矯正

ワイヤー矯正

舌側矯正

舌側矯正
取り外し 不可 不可
金属アレルギー 心配不要 注意が必要(※素材による) 注意が必要(※素材による)
目立ちにくさ 目立ちにくい 目立ちやすい 目立ちにくい
装着時の痛み ほとんど感じない 痛みを感じる場合がある 痛みを感じやすい
通院の間隔 2ヵ月に1回程度 月に1回程度 月に1回程度
歯磨きのしやすさ 通常通り 磨きにくい 磨きにくい
治療費 99万円 80~88万円 130~150万円

※表示金額は全て税込です。

矯正治療の流れ

  • 矯正初診相談

    1矯正初診相談

    当院では、歯科医師による矯正相談を3,300円にて承っています。お悩みや不安なことなどについてじっくりとカウンセリングを行い、院長が治療について詳しくご説明させていただきます。患者さん一人ひとりに合わせて専門的な視点から患者さんに合わせた治療をご提案させていただきますので、矯正治療をご検討の方はお気軽にご相談ください。

  • 精密検査・分析

    2精密検査・分析

    精度の高い矯正治療を行うためには、精密検査が必要不可欠です。そのため患者さんの症例に合わせて、CT撮影・セファロ分析・顔貌写真撮影などの検査を実施いたします。歯並びだけでなく顎の骨やお顔全体の骨格なども詳しく分析しながら治療計画を立てていきます。

  • 診断(治療計画の説明)

    3診断(治療計画の説明)

    分析結果をもとに作成した治療計画について詳しくご説明いたします。治療方法のメリット・デメリットについてはもちろん、治療期間や費用まで丁寧にご説明いたします。わかりやすい言葉で、十分なご理解とご納得をいただけるようお話いたしますが、ご不明点等ございましたら遠慮なくご質問いただければと思います。

  • 矯正治療開始

    4矯正治療開始

    矯正用のマウスピースが届きましたら、取り扱いについて詳しくご説明させていただきます。食事や歯磨き以外の時間は基本的に装着し、段階的にマウスピースを入れ替えながらご使用いただきます。歯科医師による精度の高い治療計画のもと、きれいな歯並びになるよう時間をかけて整えていきます。

  • 来院間隔・処置時間・来院期間

    5来院間隔・処置時間・
    来院期間

    一度にまとめて数枚のマウスピースをお渡ししますので、通常のマルチブラケット矯正などと比較して少ない来院回数に抑えられます。マウスピースがなくなる時期に合わせて、2ヵ月程度を目安にご来院ください。簡単な検査とメンテナンスを行い、新しいマウスピースをお渡しします。マウスピース型矯正歯科装置(インビザライン)による治療は一般的な症例の場合、2~3年程度の治療期間を要します。

  • 保定期間

    6保定期間

    治療期間が終了しましたら、後戻りを防止するための保定装置を装着する必要があります。こちらについても専用のものをお渡ししますので、取り扱いルールにしたがって装着をお願いします。

マウスピース型矯正歯科装置に
興味がある方は、
まず矯正相談へお越しください

歯科医師による
丁寧なカウンセリングを行います

診療室
診療台
待合室
カウンセリングルーム1
カウンセリングルーム2
ロゴ

院長挨拶

あなたは「マウスピース型矯正歯科装置による歯列矯正」にどのようなイメージを持たれていますか?

ワイヤー矯正に比べて、目立ちにくく取り外せて痛くないなどの良いイメージがあるのではないでしょうか。
たしかにそれらのイメージは間違っていないと思いますが、矯正歯科医からするとマウスピース型矯正歯科装置による歯列矯正とワイヤー矯正では、歯の動き方が異なるためコントロールが難しいと私は考えています。そのため、歯科用CTやセファロなどを使用した徹底的な分析を行い、歯の移動シミュレーションを何度も修正して患者さんに合わせたクリンチェックを仕上げています。
この「徹底的な分析」と「クリンチェック」は患者さんの目の前で行う作業ではありませんから、担当の歯科医師が患者さんのいない裏側でどれだけ真剣に向き合えているかが治療の結果を左右します。
私の矯正歯科臨床歴は15年を超え、歯の移動には精通しているつもりですが、それでも歯の移動がシミュレーション通りにいかないことも実際あります。そのため当院では、マウスピース型矯正歯科装置の良いところを生かしながら、不足している部分を豊富な矯正歯科の臨床経験で補う治療をご提案し治療精度の向上に努めています。マウスピース型矯正歯科装置による歯列矯正は新しい治療法ですので、豊富な実績を持ち安心して治療を依頼できる歯科医院を選ぶことが大切です。マウスピース型矯正歯科装置による歯列矯正をご検討の方は、当院までお気軽にご相談いただければと思います。

院長写真

院長

小林 弘史

Hiroshi Kobayasi

略歴

  • 2008年3月
    東京歯科大学歯学部 卒業
  • 2008年4月
    同大学 臨床研修歯科医師
  • 2009年3月
    同大学 臨床研修歯科医師 修了
  • 2009年4月
    同大学 歯科矯正学講座 Post Graduate Course 入局
  • 2009年4月
    同大学 大学院 入学
    (歯科矯正学講座)
  • 2012年4月
    同大学 歯科矯正学講座 Post Graduate Course 修了
  • 2014年3月
    同大学 大学院 卒業(歯科矯正学講座)、赤坂まつの矯正歯科にて舌側矯正を研鑽、東京歯科大学 矯正歯科学講座 勤務
  • 2016年4月
    同大学 矯正歯科学講座 臨床講師
  • 2018年5月
    ニッコリ矯正歯科クリニック
    開院

医院紹介

ロゴ

山梨県韮崎市でマウスピース型矯正歯科装置を利用した矯正ならニッコリ矯正歯科クリニック

〒407-0015 山梨県韮崎市若宮1丁目2-50
韮崎市民交流センター(ニコリ)3F

0551-22-0550
診療時間
10:00~13:00
14:30~18:30

★…14:30~18:30(月2回の診療) ◎…14:30~18:00
休診日:月曜午前、金曜、祝日
※月曜、日曜は月2回の診療となります。
詳しくは「診療カレンダー」をご確認ください。

ニッコリ矯正歯科は韮崎市民交流センター
(ニコリ)の3階にございます。

お車でお越しの方へ

お車で
お越しの方へ

大型駐車場のご用意が
ございます

公共交通機関でお越しの方へ

公共交通機関で
お越しの方へ

JR中央本線 韮崎駅から
徒歩2分

費用

矯正相談料 3,300円
精密検査・診断料 Ⅰ期治療(準備矯正) 45,000円
Ⅱ期治療(本格矯正) 50,000円
処置料 5,500円
外科処置 5,000~30,000円
加速装置(オプション) 77,000円
マウスピース型矯正歯科装置(インビザライン) 990,000円

※表示金額は全て税込です。
※保定装置は治療費に含まれています。
※矯正歯科治療は公的健康保険対象外の自由(自費)診療となります。
※一般的な治療期間は1.5~2.5年(来院回数6~30回)

・マウスピース型矯正歯科装置(インビザライン)
以下のような難症例の場合には、難症例加算(55,000円/税込)を請求いたします。
(ア)埋伏歯の開窓・牽引が必要な場合
(イ)明らかにマウスピース型矯正歯科装置(インビザライン)のみでの治療が困難で、先にワイヤー矯正にて治療が必要な場合

お支払方法

当院では現金のほか、振り込み、クレジットカード、デンタルローンでのお支払いに対応しています。

現金

現金

銀行振り込み

銀行振り込み

クレジットカード

クレジットカード

デンタルローン

デンタルローン

デンタルローンでの
お支払いについて

当院では多くの患者さんに矯正治療を受けていただけるよう、デンタルローンにも対応しています。矯正治療は費用が高額な治療になりますので、デンタルローンをご利用いただくことで一度の負担を軽減して治療を受けることが可能です。また、デンタルローンを利用した場合も医療控除の対象となりますのでご安心ください。

デンタルローンをご利用の場合のお支払い例

月々

13,400
で始められます

※初回のお支払のみ、20,673円(税込)となります。
※治療費990,000円のマウスピース型矯正歯科装置(インビザライン)を
84回の分割払いでお支払いいただく場合の例となります。

保証内容について

マウスピース型矯正歯科装置(インビザライン)での治療を行っている全ての患者さんを対象として以下の保証制度を設けています

①マウスピース型矯正歯科装置(インビザライン)の再作成費・再治療計画費は3回まで保証します。

②4回目以上の再作成費・再治療計画費は1回あたり、1万円(税込)請求いたします。

その他ケース別の対応について

マウスピース型矯正歯科装置(インビザライン)による治療の途中で、状況に応じてマルチブラケット矯正へ移行することが可能です。症例や状況によって内容が異なりますので、詳細については院長より詳しくご説明させていただきます。別途、追加費用がかかる場合がございますのでご了承ください。

医療費控除制度について

ご自身もしくはご家族の病気やケガ等によって医療費を支払った場合、確定申告を行うことで一定金額の所得控除を受けることができる制度です。生計を共にするご家族の医療費が年間で10万円を超える場合(もしくは確定申告する方の合計所得金額の5%を超える場合)に適用となります。

よくあるご質問

Q

マウスピース型矯正歯科装置(インビザライン)の治療期間はどれくらいかかりますか?。

通常のマルチブラケット矯正と比較しても、マウスピース型矯正歯科装置(インビザライン)での治療期間に差はほとんどありません。症例の難度によって異なりますが、基本的に全額矯正(前歯から奥歯まですべての歯を移動する)の場合は2~3年程度の治療期間が必要です。ほかの矯正治療よりも治療期間が格段に長くなるということはありませんのでご安心ください。

Q

マウスピース型矯正歯科装置(インビザライン)の1日の装着時間はどれくらいですか?

メーカーの推奨では1日20時間以上の装着とされていますが、当院では精度をより高めるために22時間の装着を推奨しています。22時間と聞くと長く感じますが、マウスピース型矯正歯科装置(インビザライン)は、痛みや違和感も少なく快適にお過ごしいただけますのでご安心ください。食事や歯磨き以外の時間は基本的に装着をお願いいたします。

Q

むし歯や歯周病があっても矯正治療はできますか?

むし歯や歯周病などの歯科疾患がある場合、基本的にそちらの治療を優先していただく場合があります。当院は矯正治療専門院となりますので、他院で治療を終えた後に改めてご相談いただけますと幸いです。患者さん一人ひとりに合わせて適切な矯正治療をご案内させていただきます。

Q

途中でマルチブラケット矯正に切り替えることはできますか?

お口の状態や症例にもよりますが、保証の範囲内であれば途中で切り替えることが可能です。詳しくはスタッフまでご相談ください。

Q

矯正治療費を分割で支払うことはできますか?

デンタルローンによる分割払いをご利用いただけます。最長84回として、患者さん自身にお支払回数を決めていただけますのでご希望のお支払回数をお伝えください。

マウスピース型矯正歯科装置
(インビザライン)は
薬機法対象外の
矯正装置です

未承認医薬品等であること

医薬品医療機器等法(薬機法)の承認を受けていない未承認医薬品であり、医薬品副作用被害救済制度の対象外となる可能性があります。

入手経路

マウスピース型矯正歯科装置(インビザライン)は米国アラインテクノロジー社の製品であり、インビザライン・ジャパン社を通じて入手しています。

国内の承認医薬品等の有無

国内にもマウスピース型矯正歯科装置として薬機法の承認を受けているものは複数存在します。

諸外国における安全性に係る情報

マウスピース型矯正歯科装置(インビザライン)は、FDA(アメリカ食品医薬品局)により1998年に医療機器として認証を受けています。

医薬品副作用被害救済制度について

医薬品副作用被害救済制度について万が一重篤な副作用が出た場合は、国の医薬品副作用被害救済制度の対象外となります。

マウスピース型矯正歯科装置に
興味がある方は、
まず矯正相談へお越しください

歯科医師による
丁寧なカウンセリングを行います